
丙型肝炎可能不是一种新病毒,但它是一个重大的公共卫生问题——根据世界卫生组织(world health Organization)的数据,全世界每年有40多万人死于丙型肝炎。这种病毒非常严重,因为它会感染肝脏,如果不加以治疗,会对肝脏造成永久性损伤。奇怪的是,虽然丙肝会导致一些人患上致命的疾病,但也有一些人不用医疗干预就能战胜它。随着科学家们继续努力了解这种病毒,我们现在知道了丙肝如何导致肝脏损伤,甚至可能导致癌症。

丙肝接管了你的肝脏
鲜为人知的一天中的事实:丙肝实际上是一组具有不同的基因组成7病毒株。当这些菌株之一进入人体后,其负责人对肝脏,你的身体最大的那是负责清除毒素,打破脂肪,并保持在血液中的化学物质的平衡器官。在那里,病毒劫持个别肝细胞和复制以惊人的速度,让每一天数十亿的新副本,迈克尔·霍顿博士,一个在病毒学家阿尔伯塔大学,谁首先发现了科学家的人说丙型肝炎病毒。

你的身体怎么还击
当丙肝病毒攻击你的肝脏时,你的免疫系统就会启动。它会发送白细胞和有毒化学物质来抵抗丙肝病毒的入侵,并产生抗体来挫败病毒。在大约五分之一的情况下,这些强大的防御措施足以彻底摧毁病毒。研究人员认为,这是由于复杂的遗传因素导致一些人的免疫系统更活跃,反应更快,这是粉碎病毒的关键。但是绝大多数人不能靠自己消灭丙肝。

当丙肝变成慢性
如果你是数百万持续感染丙肝的人中的一员,你就处在一种无人区,在那里,你的免疫系统不断地击退病毒,试图杀死受感染的肝细胞,但它永远无法完全清除感染。随着时间的推移,对肝脏的持续攻击会导致炎症,由身体的免疫反应触发。再加上病毒的直接作用,就会损害器官。“你的肝脏里有一团闷燃的火焰,”霍顿解释道。

疤痕组织积聚在肝
当肝脏受伤它形成疤痕,“当你把它以同样的方式你的皮肤呢,”艾拉·雅各布森,医学博士,在纽约大学朗格尼医学中心医学和肝病主任教授说。在某些情况下,疤痕组织可以建立为改变机关的质感广泛的网络,给它一个“块状,颠簸”的出现,据雅各布森博士。肝损伤的晚期阶段被称为肝硬化,这意味着血液无法再正常流过你的肝脏。

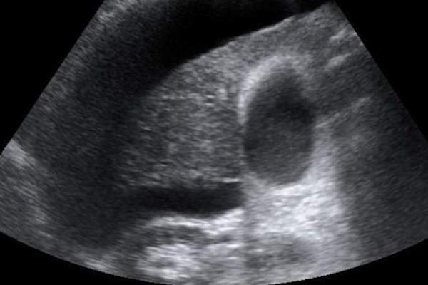
肝硬化的点滴症状
一个肝病患者的困难是,症状往往不裁剪,直到晚期。如果你做的事通知,最常见的症状包括疲劳,恶心,体重减轻,易出血或瘀伤,黄疸和肿腿。幸运的是,一些血液和影像学检查可用于诊断疾病。一个是所谓的弹性,后者衡量的弹性(或僵硬),你的肝脏组织可能会通过你的身体传递声波。因为疤痕组织变硬的肝脏,这给扫描医生的破坏程度的快照。

为什么肝硬化对某些人更严重
一项大规模临床研究综述显示,近四分之一的人在感染丙肝至少20年后会发展为肝硬化。男性和老年人更容易感染这种疾病。除了遗传因素、慢性健康状况以及酗酒和吸烟等行为外,你所携带的病毒类型也会增加肝硬化的风险:“基因3型”尤其有害,约占美国感染病例的20%

肝硬化的其他原因
塞缪尔安特维,博士,梅奥诊所在佛罗里达州的流行病学家说,如果你有一个像HIV感染者或乙肝,除了你的丙肝诊断某些情况下,你是在开发肝脏晚期瘢痕的风险更大。易患你有严重的疤痕的其他条件包括脂肪肝,糖尿病或代谢综合征。但不管别人是怎么回事的,未经处理的丙肝感染可能导致肝硬化,最终,即使它需要几十年,他说。

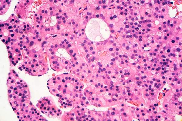
肝硬化和肝癌
当人们有肝硬化,他们更容易患上一种称为肝癌肝癌。研究人员并不完全了解这两种疾病之间的联系,但有一种解释是,疤痕组织和持续的炎症的积累造成,其中癌症肿瘤更容易生长的环境。不管究竟为什么肝脏上的疤痕是与癌症“肝硬化的人应定期进行肝癌筛查,”雅各布森博士说。

其他丙肝和肝癌的原因
还有其他三个原因丙肝会导致肝癌。首先,感染造成肝细胞的高周转,为病毒和免疫系统杀灭细胞,你的身体都工作,以取代他们。由于慢性炎症,这些新的肝细胞可能含有受损的DNA,这增加了患癌症的机会。同时,发炎的肝脏可能预示你的免疫系统产生有毒的化学物质,而这些,也可能会引发癌症的突变。最后,免疫系统可能改变某些基因的活性,鼓励肿瘤生长。

谁最容易患肝癌?
根据最近的研究,丙肝患者约占全球肝癌患者的20%。与肝硬化一样,男性和老年患者更容易患肝癌,但任何肝脏有大面积瘢痕的人都有风险。一般来说,不过度饮酒或吸烟、保持健康体重、血糖水平得到控制的人患肝癌的风险较低。

丙肝治疗能降低肝癌风险吗?
治疗有所帮助,但它不是万无一失。3%,对直接作用的抗病毒药丙肝治疗的人的9%之间仍继续以发展为肝细胞癌。这是因为,虽然这些药物的工作为目标的病毒,他们不会阻止癌症的发展。因此,如果癌症早期阶段已经开动,治疗也无济于事。如果患者经过多年的感染接受治疗丙肝,他们可能已经累积足够的肝功能损害造成的疾病,解释安特维。“早期治疗是至关重要的,”他说。
全球丙肝死亡率:世界卫生组织(2019)。“丙型肝炎:关键事实”who.int/news-room/fact-sheets/detail/hepatitis-c
丙肝概述:医学病毒学杂志。(2016)。《丙型肝炎临床回顾》pubmed.ncbi.nlm.nih.gov / 27097298 /
丙肝病毒株和疫苗研制:病毒学杂志。(2019)。“一种重组丙型肝炎病毒基因型1a E1/E2包膜糖蛋白疫苗,通过E2的n -末端高变区1与清道夫受体B1的相互作用,可产生差异中和密切相关2a株的抗体。”pubmed.ncbi.nlm.nih.gov / 31462563 /
如何在肝丙肝相乘:病理学的美国杂志。(2003)。“人类肝脏中丙型肝炎病毒复制的动态”。ncbi.nlm.nih.gov / pmc /文章/ PMC1868229 /
发生肝癌的:国际癌症杂志。(2018)。“分数和肝癌归属入射到乙型和丙型肝炎病毒全球”。pubmed.ncbi.nlm.nih.gov/29388206/
丙肝与肝癌:BMC医学。(2017)。新一代抗病毒药物时代的丙型肝炎相关肝癌pubmed.ncbi.nlm.nih.gov / 28288626 /
直接作用抗病毒药物与肝癌:癌症预防研究。(2019)。“使用直接作用的抗病毒药物治疗慢性丙型肝炎后发生肝癌的风险”pubmed.ncbi.nlm.nih.gov / 31451519 /